Deutlicher Anstieg der Usutu-Virus-Nachweise in niedersächsischen Amseln
Seit Ende Juli 2024 verzeichnet das Wildtierkompetenzzentrum (WiKo) Hannover des Lebensmittel- und Veterinärinstituts Braunschweig/Hannover vermehrte Einsendung von Amseln. Insgesamt wies das WiKo im Jahr 2024 das Usutu-Virus bei 63 Wildvögeln nach (zumeist Amseln).
Frühere Nachweise
Das Usutu-Virus verursachte zuletzt 2018 in Deutschland ein großes Amselsterben. Erstmals waren vor allem die nördlichen Bundesländer stark betroffen. Das WiKo konnte das Virus bei 83 (78 Prozent) Amseln und einem Eichelhäher nachweisen.
Auch noch im Folgejahr 2019 war das Virus für den Tod vieler Amsel verantwortlich. So trugen 32 (70 Prozent) der untersuchten Amseln das Virus in sich.
Im Jahr 2020 konnte das Usutu-Virus lediglich bei einer im August tot aufgefundenen Amsel nachgewiesen werden. Zu einem massenhaften Sterben von Amseln kam es in dem Jahr nicht. Möglicherweise war es durch die weite Verbreitung des Virus zur Ausbildung einer Immunität in der Amselpopulation gekommen.
Im Jahr 2021 wurde das Usutu-Virus im August bei drei tot aufgefundenen Amseln nachgewiesen. Ein massenhaftes Amselsterben infolge der Virusinfektion wurde auch in diesem Jahr nicht beobachtet.
2022 kam es zu einem Anstieg der Usutu-Virus-Nachweise. Von 14 untersuchten Amseln wiesen 7 (50 Prozent) den Erreger auf.
2023 konnte der Erreger in keinem der im WiKo untersuchten Wildvögel nachgewiesen werden.
Herkunft und Krankheitsbild
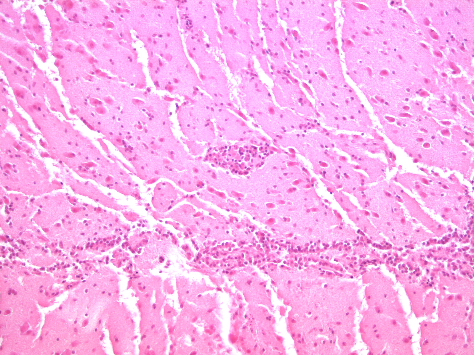
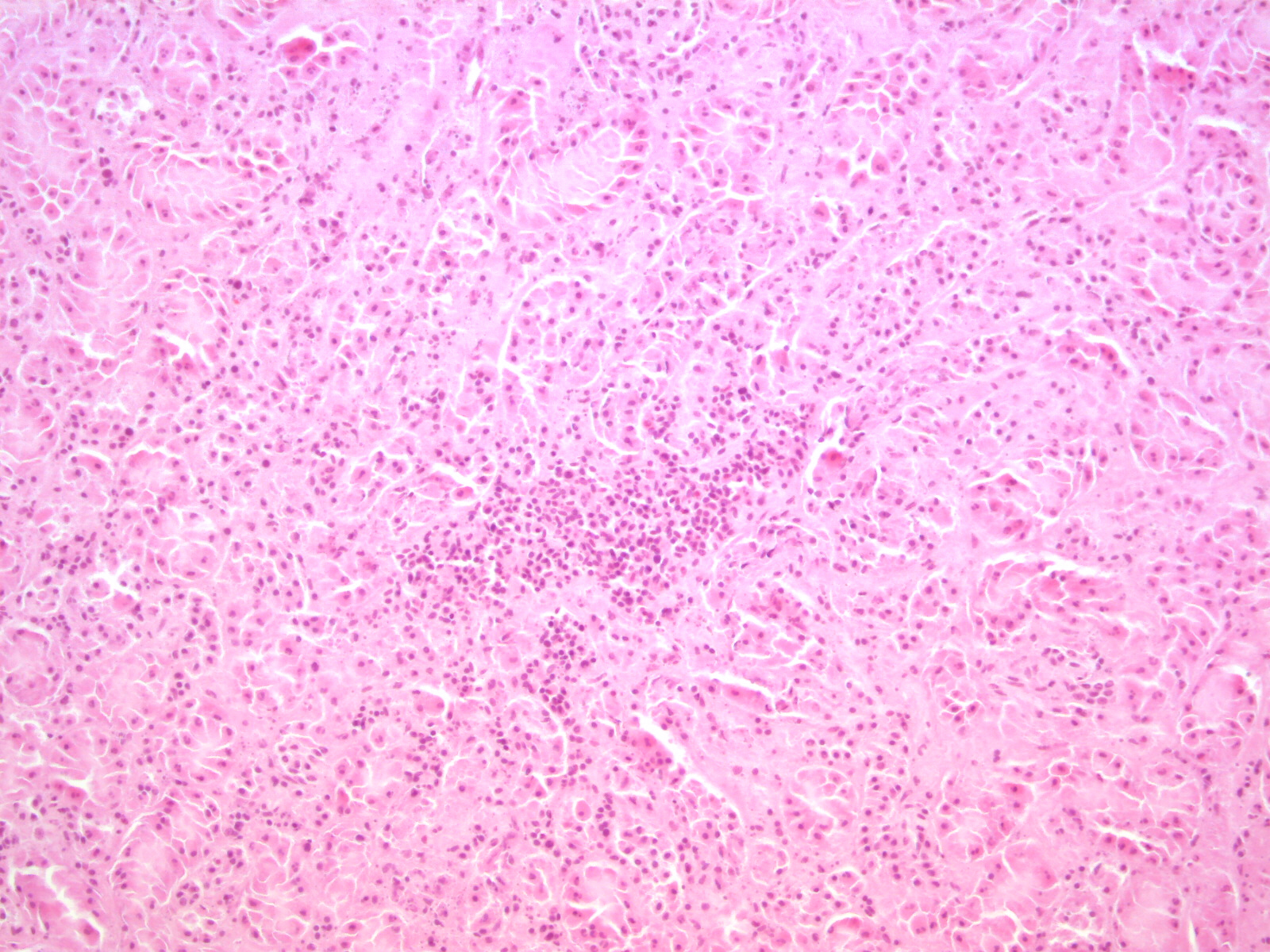
Ursprünglich stammt das Virus aus Afrika und führt vor allem bei Vögeln zu Infektionen. Es ist eng verwandt mit dem West-Nil-Virus, das seit 2018 ebenfalls in Deutschland nachgewiesen wird. Die Übertragung erfolgt durch Stechmücken. Die meisten Vogelarten erkranken nicht. Amseln hingegen scheinen besonders empfänglich zu sein. Die Vögel zeigen zum Teil erhebliche Symptome und sterben in der Folge. Erkrankte Amseln können durch kahles Gefieder, Mattigkeit, Schwanken oder Verdrehen des Kopfes auffallen.
Als Fehlwirt können sich auch Säugetiere, inklusive des Menschen, mit dem Virus infizieren. Infektionen beim Menschen verlaufen meist symptomlos. Selten kommt es zu einer Erkrankung, die sich beispielsweise durch Kopfschmerzen, Fieber oder Hautausschlag äußert. In Deutschland sind bisher keine durch das Usutu-Virus ausgelösten Erkrankungen bekannt.
Wie lässt sich das Infektionsrisiko minimieren?
Zwar sind bisher nur Mücken als Überträger des Usutu-Virus bekannt, doch Vorsicht beim Umgang mit auffälligen und toten Tieren ist immer sinnvoll. Deswegen gilt: Grundsätzlich keine Wildtiere anfassen! Besonders Kinder sollten sich prinzipiell von ihnen fernhalten. Wenn die Tiere krank wirken oder sich zutraulich verhalten, ist Vorsicht geboten. Wer trotzdem einen kranken oder toten Vogel berühren muss, etwa um ihn zu entfernen, sollte unbedingt Handschuhe anziehen. Auch andere Hilfsmittel, die den direkten Hautkontakt mit dem Tier verhindern, eignen sich, wie etwa umgestülpte, unbeschädigte und feste Plastik-Tüten. Im Anschluss ist gründliches Händewaschen mit Seife empfehlenswert.
Da Mücken das Usutu-Virus übertragen, bieten sich ebenfalls Maßnahmen zur Reduzierung von Mücken am Wohnort an. Dazu kann die Einschränkung von Brutmöglichkeiten beitragen. So können Wassertonnen oder andere offene Wasserstellen verschlossen, mit engmaschigen Netzen versehen oder ganz entfernt werden.

