„Mysteriöses Meisensterben“ erreicht erstmals Niedersachsen
Anfang März 2020 wurden erste verstorbene Meisen über die regionalen Veterinärämter dem Lebensmittel- und Veterinärinstitut Braunschweig/Hannover, Standort Hannover zugesandt. Die Einsender berichteten von einem vermehrten Auftreten toter Vögel. Das LAVES untersuchte die toten Tiere und fand die Ursache für das mysteriöse Meisensterben.
Einige Einsender berichteten, dass vor dem Versterben betroffene Tiere taumelten, orientierungslos waren, sich aufplusterten und/oder handzahm wurden.
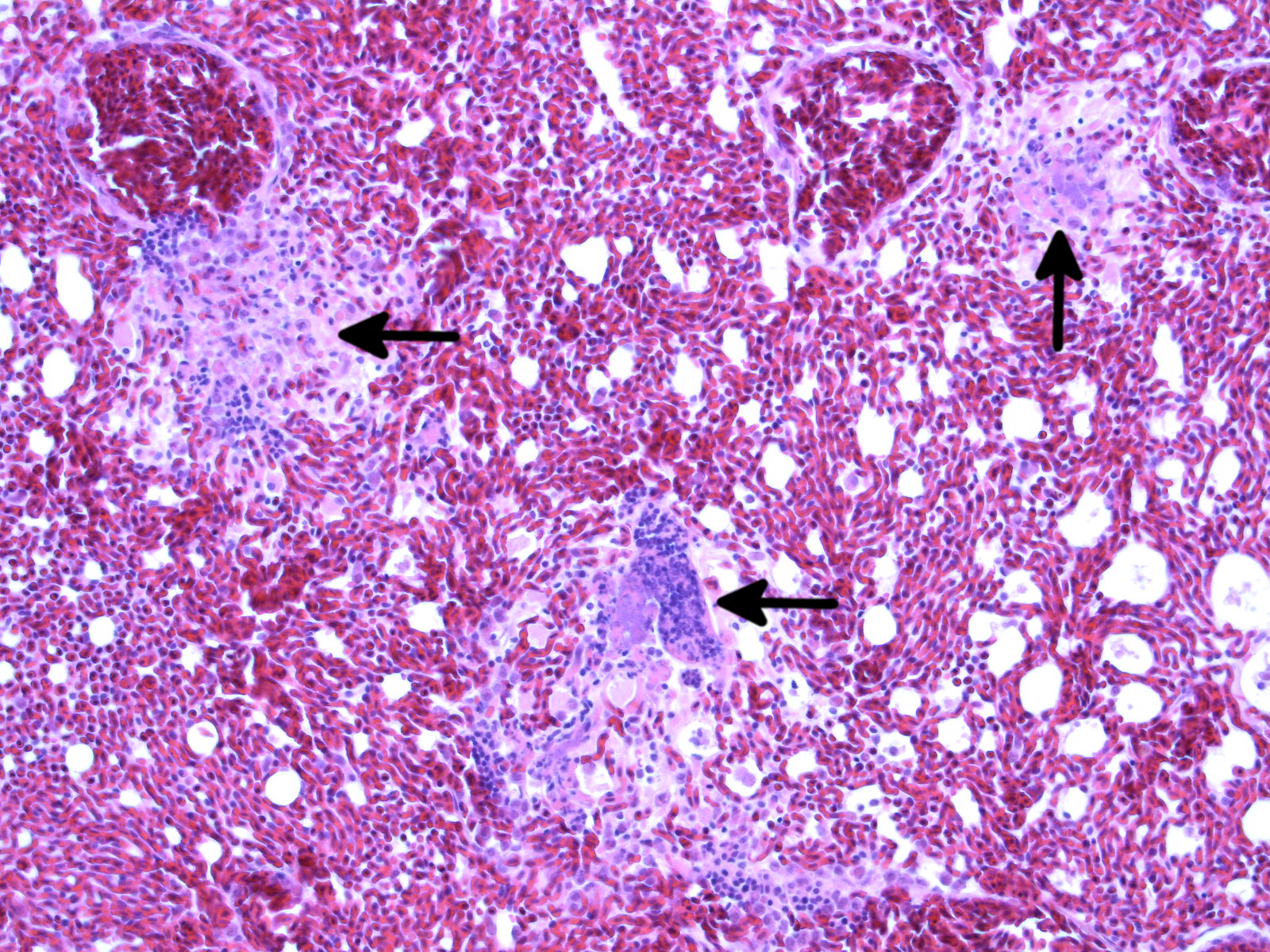
In der Obduktion zeigten die Tiere unterschiedliche Ernährungszustände. Einige Tiere waren gut genährt, während es auch Tiere mit vollständiger körperlicher Auszehrung (Kachexie) gab. Makroskopisch zeigten sich die inneren Organe unauffällig, während feingewebliche Untersuchungen durchweg eine Entzündung der Lunge aufwiesen (fibrinös-nekrotisierende Pneumonie). Auch konnten Bakterienkolonien im Bereich der Entzündungsherde beobachtet werden. Vereinzelt konnte an der Skelettmuskulatur einzelne Zelluntergänge (hyalinschollige Degeneration) beobachtet werden. Bisher (Stand 29.04.2020) wurden 32 Tiere, überwiegend Blaumeisen, untersucht. Bakteriologisch konnte aus den inneren Organen von 16 Tieren das Bakterium Suttonella ornithocola isoliert werden. Bei 10 Tieren verlief diese Untersuchung negativ, 6 konnten aufgrund fortgeschrittener Autolyse nicht entsprechend untersucht werden. Virologische Untersuchungen auf Influenzaviren verliefen negativ.
Bei Suttonella ornithocola handelt es sich um ein Bakterium welches erstmalig im Frühjahr 1996 in England und Wales für ein massives Meisensterben verantwortlich gemacht wurde. 2018 wurde der Erreger im Zusammenhang mit einem Versterben von Meisen erstmalig in Nordrhein-Westfalen (Chemisches und Veterinäruntersuchungsamt Westfalen) beschrieben. Erkrankte Tiere zeigten eine Lungenentzündung und vereinzelt Erkrankungen des Darms.
Über die Infektionswege ist wenig bekannt. Da der Erreger eine Lungenentzündung verursacht, ist eine Übertragung via Aerosol oder durch Kontakt mit infizierten Sekreten denkbar. Dabei ist die Überlebensdauer des Erregers in der Umwelt unklar.
Ein Gefährdungspotential für Menschen oder Tiere außer Meisen scheint nicht zu bestehen. Laut gegenwärtiger Literatur ist keine Infektion beim Menschen oder Tieren außer Meisen bekannt. Auf eine allgemeine Hygiene beim Umgang mit toten Tieren (z.B. Einweghandschuhe) wird verwiesen.
Zusammenfassend steht die Lungenentzündung (Pneumonie) der Tiere als Hauptmerkmal im Vordergrund. Auslöser ist hier ein Bakterium namens Suttonella ornithocola (bei 16 von 32 untersuchten Tieren). Ob die Veränderungen der Muskultur ebenfalls bedingt sind durch das Bakterium ist nicht sicher, aber nicht auszuschließen. Aktuell ist die Datenlage bzw. die vorhandene Literatur spärlich. Laut aktueller Literatur soll die Erkrankung gehäuft im Frühjahr auftreten. Häufig sollen Blaumeisen, aber auch andere Meisen, sowie vornehmlich männliche Tiere betroffen sein. In den aktuellen Untersuchungen sind männliche und weibliche Tiere zu gleichen Teilen betroffen.
Die Tiere kamen aus verschiedenen Regionen über ganz Niedersachsen verteilt.
Feingewebliche Aufnahme der Lunge einer Meise. Die Pfeile markieren die deutliche Lungenentzündung bei Tieren, die mit Suttonella ornithocola infiziert waren.
Diese Artikel könnten Sie auch interessieren:
Untersuchungen zur Todesursache bei Gartenvögeln
Im Jahr 2020 hat das Lebensmittel- und Veterinärinstitut Braunschweig/Hannover des LAVES bisher 113 Gartenvögel auf die Todesursache hin untersucht. mehrDeutlicher Anstieg der Usutu-Virus-Nachweise in niedersächsischen Amseln
Seit Ende Juli 2024 verzeichnet das WiKo vermehrte Einsendung von Amseln. Von den seit Juli bis Mitte August untersuchten 21 Amseln konnte in 18 Tieren (85,7 Prozent) das Usutu-Virus nachgewiesen werden. mehrDie Familie der Meisen gehört zu den Singvögeln. Sie kommen in der nördlichen Hemisphäre sowie in Afrika vor, und bewohnen baumreiche Habitate. Mit ihrem kräftigen Schnabel ernähren sie sich von Insekten und Sämereien.

